①上顎と下顎の関係

・歯は上下の顎の上に植わっているので、顎がズレると歯並びに大きな影響があります。例えば上顎が大きかったり下顎小さかったりがすると上顎前突(出っ歯)に、その逆であると下顎前突(受け口)になってしまいます。矯正歯科では上の写真のような頭部X線規格写真(セファロ)を撮ることにより顎のずれを評価します。
・子どもでは顎の成長予測をして治療を行いますが、症例によっては成長が終わるまで安心できないこともあります。


②歯と顎の大きさのバランス

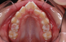
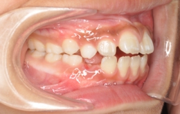
・歯が顎に比べて大きい(逆に言うと顎が小さい)場合歯は凸凹に生えて叢生という状態になります。歯が生えてくる時、早く生えてきたものが場所を占領しますので、多くの場合最後に生えてくる上の犬歯は生える場所が無くなりいわゆる「八重歯」になってしまいます。
・逆に歯が顎に比べて小さい場合、もしくは歯が欠損していたり生えてこないままであったりすると、すきっ歯、空隙歯列弓歯という状態になります。


③歯にかかる力

・歯は外側からは頬や口唇の力、内側からは舌の力のバランスのとれたところに並びます。歯ぎしりなどで咬合力が常に歯にかかっていると奥歯がめり込んでいくことでかみ合わせが深くなっていくこともあります。
・指しゃぶりをしていると出っ歯や開咬(前歯が噛まない)になりやすいため早めの治療が必要なことがあります。そのほか管弦楽器や頬杖などの習癖などで不正咬合を起こすことがあります。

