![]()
不正咬合は見た目が悪いだけではありません
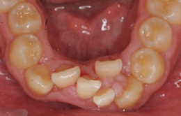
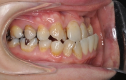
 矯正歯科は悪い歯ならびや噛み合わせを、きれいに並べきちんと噛み合うようにする歯科治療です。その方法は歯を動かすだけではなく、上顎と下顎の成長コントロールや、指しゃぶりなど習癖を治したりすることもが必要です。歯がふぞろいだったり、きちんと噛み合わない状態を、「不正咬合」といいます。
 現在日本では口蓋裂や顎変形症などを除き健康保険が適用されないのですが、学校歯科健診や歯科疾患実態調査(厚労省が行う歯科の全国調査)では不正咬合のチェックがありますし、審美的目的でない矯正治療の税金の医療費控除も行うことができます。ヨーロッパの国の中には矯正治療が保険制度に入っているところも多くあります。
 多くの患者さんは「見た目」を気にして来院されるのですが、不正咬合には程度にもよりますが機能的問題を含む場合があります。その主な問題は上の3つですが、そのほかにも顎の関節に負担がかかったり、前歯を折ったりケガをしやすかったりすることがあります。
 80歳で20本の歯を保っている方の口の中を見ると、受け口や歯がでこぼこの人はおらず、きれいな歯並びか少しだけの上顎前突の人しかいませんでした(東京歯科大学矯正歯科講座の一連の研究)。私も歯科医師会で8020運動の講演や事業を行っていますが、8020達成者は皆さん元気で活動的、きれいな歯並びと良い噛み合わせで8020を目指しましょう。
HOME

